[KH BỌC RĂNG SỨ] Một nụ cười tự tin không chỉ là điểm cộng trong giao tiếp, mà còn thể hiện sự bản lĩnh và thành công của người đàn ông.

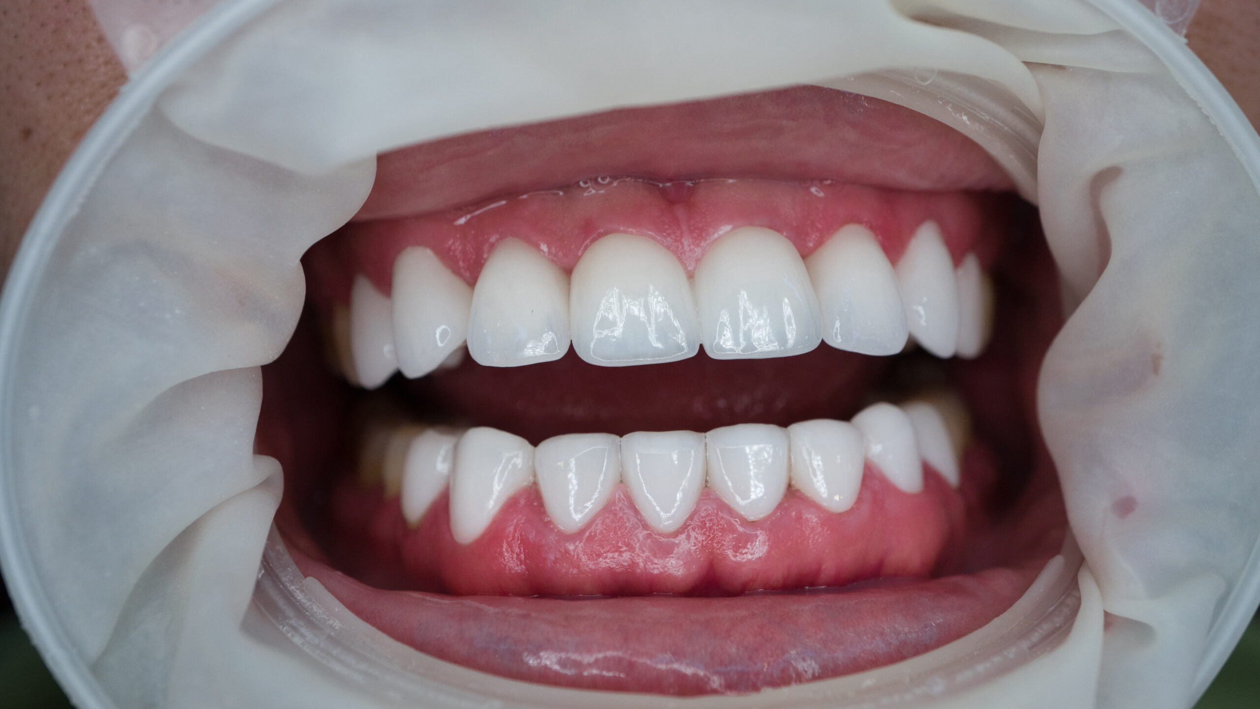
Anh Nguyễn Hoàng Hải từng ngại cười vì răng không đều màu, khiến anh mất tự tin trong công việc và giao tiếp. Sau khi được bác sĩ tư vấn, anh lựa chọn làm 16 răng sứ HT Smile – dòng sứ cao cấp giúp tái tạo lại nụ cười tự nhiên, sáng khỏe và bền chắc.


Chỉ sau một thời gian ngắn, nụ cười mới đã mang đến cho anh Hải sự thay đổi rõ rệt: gương mặt rạng rỡ hơn, phong thái tự tin hơn – và tất nhiên, là cả sự hài lòng tuyệt đối với kết quả.
💬 Vì đôi khi, thành công không chỉ đến từ năng lực, mà còn từ nụ cười dám thể hiện chính mình.

