U răng là gì?
U răng là tình trạng xuất hiện một khối u lành tính có liên quan đến sự phát triển răng. Đó là một mô thừa nha khoa, bao gồm các mô răng có sự phát triển bất thường. Hiện tượng u ở răng có 2 loại là:
- U răng đa hợp: Là tình trạng răng vẫn có 3 mô răng riêng biệt là men răng, ngà răng và xương răng. Khối u này có thể xuất hiện phân thùy răng, nơi không có mô riêng biệt giữa các răng nhỏ. Hiện tượng về răng này thường được xuất hiện ở hàm trên.
- U răng phức hợp: Là u mô thừa nha khoa gồm các mô răng phát triển bất thường tại một điểm. Khối u này thường xuất hiện ở phía sau hàm trên hoặc hàm dưới.

U răng là các mô răng có sự phát triển bất thường
Đặc điểm của u răng
Vị trí
Vị trí mà u răng thường xuyên xuất hiện nhất là ở vùng răng cửa. Một số trường hợp không phổ biến khác là sự xuất hiện ở bên trong xoang hàm trên, hốc mũi và sàn miệng. Hầu hết các u do răng răng đều là u xuất hiện ở trong xương hàm.
Biểu hiện
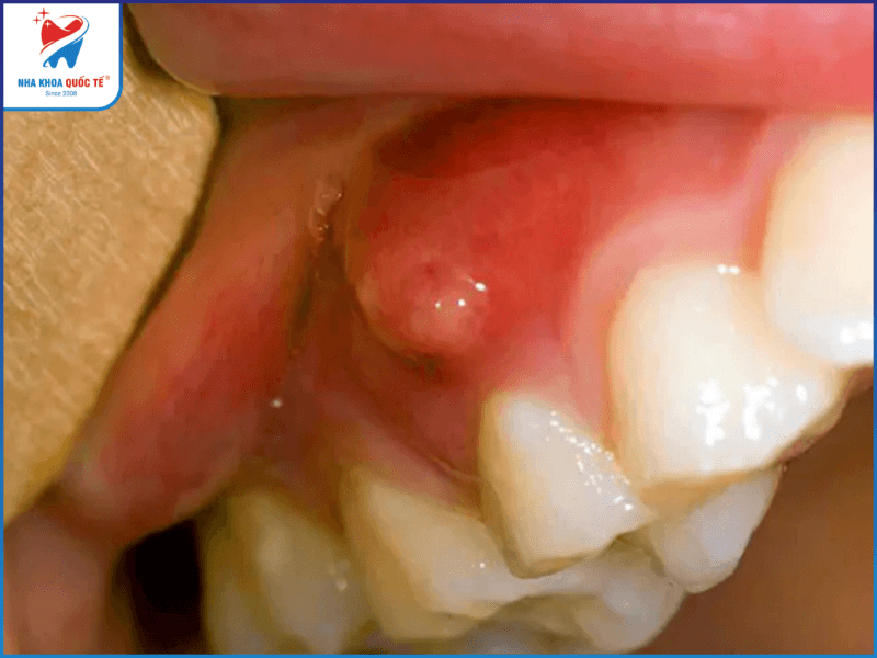
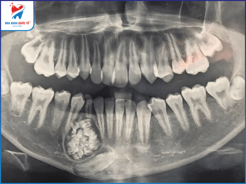
Thông thường u răng là những khối u lành tính, không gây ra triệu chứng và không có những biểu hiện rõ rệt. Hơn một nửa số trường hợp phát hiện ra tình trạng u ở răng khi chụp X quang. Theo nhiều báo cáo khác nhau, tình trạng u ở răng hiếm khi làm gây sưng hàm. Biểu hiện phổ biến nhất của tình trạng u ở răng là sự hiện diện của một chiếc răng vĩnh viễn ngầm hoặc thiếu răng.

U răng thường được phát hiện thông qua chụp X quang
Mỗi loại u ở răng sẽ có những triệu chứng, biểu hiện khác nhau. Cụ thể thì:
- U chân răng: Bệnh thường không có biểu hiện rõ rệt ở trong thời gian đầu. Tuy nhiên sau khi răng bắt đầu trở nặng sẽ xuất hiện tình trạng chảy mủ, răng bị lung lay và đau ở vùng có khối u.
- U thân răng: Thường không có biểu hiện rõ rệt trừ khi bạn đi khám nha khoa. Tình trạng răng này bắt nguồn từ việc trong hàm xuất hiện một chiếc răng mọc ngầm.
Nguyên nhân gây ra tình trạng u ở răng là gì?
Hầu hết các khối u ở răng thường là u lành tính. Các nha sĩ cho rằng nguyên nhân chính gây ra tình trạng xuất hiện khối u ở răng là bởi nhiễm trùng hoặc chấn thương liên quan, đột biến gen hoặc do di truyền.

Có nhiều nguyên nhân gây u răng khác nhau
Hiện nay, nguyên nhân chính xác gây u răng vẫn chưa được xác định hoàn toàn. Tuy nhiên, một số yếu tố có thể liên quan gồm:
• Rối loạn trong quá trình phát triển của mầm răng
• Chấn thương vùng hàm mặt khi còn nhỏ
• Nhiễm trùng răng miệng kéo dài
• Yếu tố di truyền
• Các bất thường trong quá trình hình thành mô răng
Đổi màu răng là dấu hiệu phát hiện bệnh u ở răng sớm nhưng thường dễ bị bỏ qua. Chỉ đến răng miệng gặp một số tình trạng nghiêm trọng hơn như chảy mủ, đau ở vùng có u, lung lay răng, sưng mặt… thì mới được người bệnh chú ý và đi tới nha khoa, bệnh viện khám.
U răng có nguy hiểm tới sức khỏe không?
Tình trạng u ở răng được xem là một trong những bệnh lý nha khoa nghiêm trọng. Nếu không được phát hiện và điều trị kịp thời có thể gây nên những biến chứng nguy hiểm tới sức khỏe, cụ thể:
• Làm chậm hoặc cản trở răng mọc bình thường
• Gây lệch lạc khớp cắn
• Tiêu xương hàm tại vị trí u
• Nhiễm trùng nếu u bị bội nhiễm
• Gây biến dạng khuôn mặt khi u phát triển lớn

U răng gây ra những biến chứng nguy hiểm nếu không được điều trị kịp thời
Trong một số trường hợp hiếm, u răng có thể phát triển phức tạp và ảnh hưởng đến dây thần kinh hoặc cấu trúc lân cận.
Vì vậy khi phát hiện ra một số biểu hiện bất thường về răng miệng thì nên nhanh chóng tới ngay nha khoa uy tín để phát hiện kịp thời.
Cách điều trị u răng hiệu quả là gì?
Phương pháp chuẩn đoán
Để phát hiện được tình trạng u răng sớm, bạn có thể đi tới các bệnh viện, nha khoa uy tín để chuẩn đoán tình trạng răng bằng các phương pháp như:
- Chụp X-quang xương hàm
- Chẩn đoán mô học u ở răng
- Chụp CT scan cho u ở răng
Phương pháp điều trị
Phương pháp để điều trị những khối u răng triệt để và hiệu quả nhất hiện nay là phẫu thuật. Quá trình phẫu thuật khối u ở răng thường diễn ra rất nhanh chóng và thời gian phục hồi nhanh. Tuy nhiên một số khối u nghiêm trọng có thể mang tới một số di chứng sau phẫu thuật.

Phẫu thuật là phương pháp điều trị u răng triệt để nhất
Vì bệnh u ở răng không có nguyên nhân cũng như biểu hiện cụ thể nên rất khó có biện pháp phòng ngừa phù hợp. Tuy nhiên để an toàn, bạn nên vệ sinh răng miệng đúng cách, đồng thời tới nha khoa định kỳ để thăm khám tình trạng của răng.
Ngoài ra, khi phát hiện thấy răng có bất kỳ các biểu hiện bất thường như: Răng lung lay, xương hàm lệch, có biểu hiện viêm xoang, viêm mũi,… thì cần đi chụp X- quang sớm để kiểm tra.
Trên đây là một số thông tin về tình trạng u răng mà chúng tôi muốn chia sẻ tới bạn đọc. Hy vọng qua những chia sẻ về u răng ở bài viết giúp bạn đọc hiểu rõ hơn về căn bệnh răng miệng này để từ đó có những biện pháp phòng ngừa, điều trị phù hợp!


